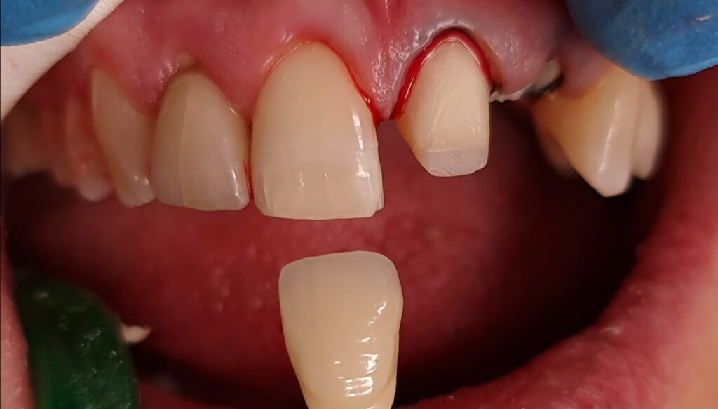
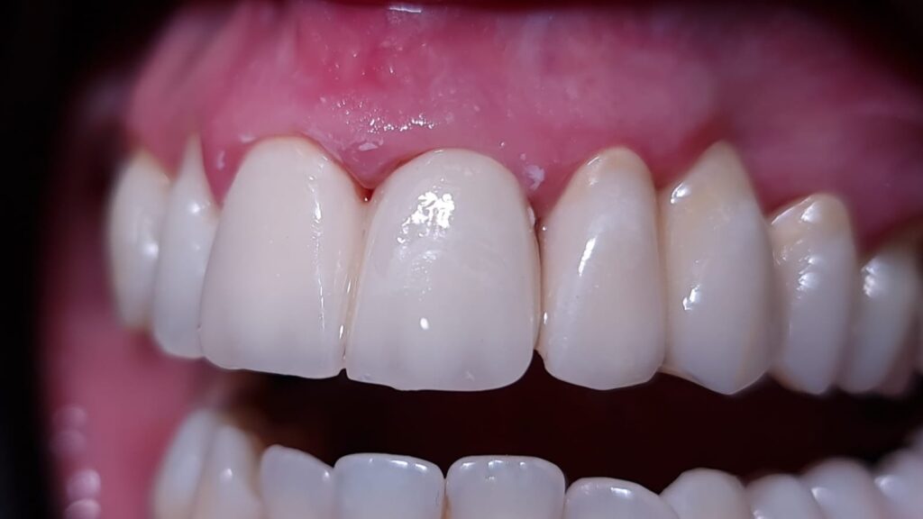
GALERIJA SLIKA

Naš rad.